インプラント症例
手術回数を少なくして治療期間を短縮したいケース
(抜歯即時)
          術前術後の口腔内者写真
治療前
                治療後
                | 年齢・性別 | 33歳女性 | 
|---|---|
| 主訴 | 食事中にガクッと音がして、歯が動揺し始め、その後歯茎から膿が出るようになった。 | 
| お口の状態 | 向かって右の中切歯の歯根が折れて、変色し動いていた。 | 
| 治療内容 | 抜歯と同時にインプラント埋入し、短期間で低侵襲、審美的なインプラント治療がなされた。 | 
| 治療期間 | 4か月 | 
| 治療費 | インプラント1本あたり:約500,000円(税込) | 
| 治療のリスク | • 一過性及び永久性の唇・舌・頬・歯肉・歯牙等の感覚麻痺 • 近接歯牙の損傷・上顎洞・鼻腔への穿孔 • 炎症・疼痛・過敏症・組織治癒遅延、及び術部顔面部の内出血 • インプラント周囲炎になる可能性があるため、 丁寧なブラッシングと定期メンテナンスが重要  | 
          
治療の流れ
- 
                  
                  1.治療前
「食事中にガクッと音がして、歯が動揺し始め、その後歯茎から膿が出るようになった」とのことで来院されました。
 - 
                  
                  2.治療計画
歯科治療に恐怖感の強い患者様でしたので、抜歯手術とインプラント埋入手術を同時に行い、2次オペの必要が無いように1回法で手術を行いました。
 - 
                  
                  3.仮歯装着
インプラント埋入後は、周りの歯茎がかぶってくるのを防ぐため(2次オペが不要になるよう)、仮歯を歯茎に装着しました。
 - 
                  
                  4.アバットメント装着
トランスバーサルスクリューアバットメントが装着され、これにセラミックスの歯をねじ止めします。
 - 
                  
                  5-1.治療後の経過
向かって右の中切歯がインプラントの歯です。
抜歯から歯が入るまで、3か月半、たった1回の手術で完了しました。
2021年で治療後17年経ちますが、このままの状態で生活されています。 - 
                  
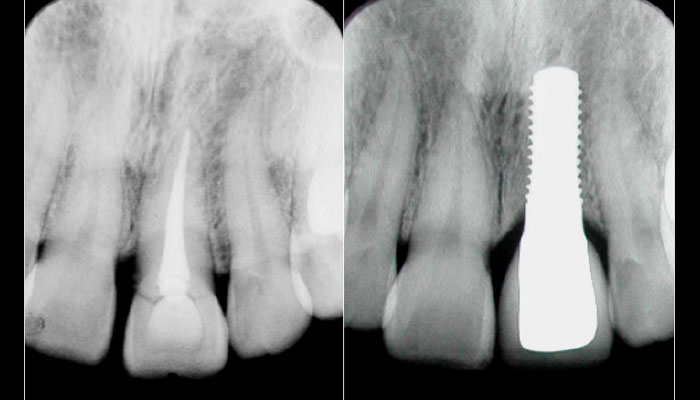
                  5-2.治療後の経過
左が治療前、右が治療後のレントゲンです。