インプラント症例
他の医院での失敗を修正したケース
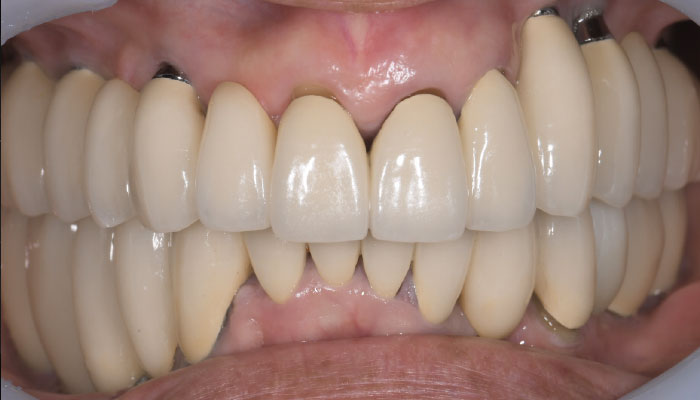
術前術後の口腔内者写真
治療前
                治療後
                | 年齢・性別 | 59歳女性 | 
|---|---|
| 主訴 | 他医院で入れたインプラントの調子が悪い。 | 
| お口の状態 | 全体に15本のインプラントが入っており、右上のインプラントの歯が壊れて来院されたので、とりあえず仮歯を作って装着しましたが、そのほとんどが歯とインプラントのつなぎ目が合っていないために、インプラント周囲炎にかかっていた。 | 
| 治療内容 | 折れたインプラントを撤去して、同時法のGBRにて新しくインプラントを埋入した。壊れていたインプラント義歯はアバットメントから再作成し、全顎的な美しい、よく噛める歯列を提供することが出来た。 | 
| 治療費 | インプラント1本あたり:約500,000円(税込) | 
| 治療期間 | 8か月 | 
| 治療のリスク | • 一過性及び永久性の唇・舌・頬・歯肉・歯牙等の感覚麻痺 • 近接歯牙の損傷・上顎洞・鼻腔への穿孔 • 炎症・疼痛・過敏症・組織治癒遅延、及び術部顔面部の内出血 • インプラント周囲炎になる可能性があるため、 丁寧なブラッシングと定期メンテナンスが重要  | 
          
治療の流れ
- 
                  
                  1.治療前
全体に15本のインプラントが入っており、右上のインプラントの歯が壊れて来院されたので、とりあえず仮歯を作って装着しましたが、そのほとんどが歯とインプラントのつなぎ目が合っていないために、インプラント周囲炎にかかっていました。
 - 
                  
                  2.治療前の検査
「歯が取れたインプラント」や「骨内で折れたインプラント」、「インプラント周囲炎で撤去が必要なインプラント」など、いわゆるインプラント合併症が多数見られます。
 - 
                  
                  3.治療後
左下のインプラントを撤去して、新規に2本のインプラントを埋入し、すべての歯を作り直してかみ合わせも綺麗にしました。すべてのインプラント周囲炎は治って、健康な歯茎になりました。
 - 
                  
                  4-1.治療後の経過
治療後は、インプラント周囲の骨の状態も安定して、つなぎ目も隙間が無くピッタリ合っています。
 - 
                  
                  4-2.治療後の経過
3か月ごとのメインテナンスを継続されており、15年経ちましたが、1本の再治療もなく良好に経過しています。